Results
Haemoglobin:
Haematocrit:
White blood cell count:
Platelets:
Erythrocyte sedimentation rate (ESR):
C-reactive protein (CRP):
Alanine aminotransferase (ALT):
Aspartate aminotransferase (AST):
Gamma-glutamyl transferase (GGT):
Total bilirubin:
Direct bilirubin:
7.3 g/dL
20.5%
9200 cells/mm3 (86% polymorphonuclear
leucocytes, 3% monocytes, 1% basophils,
4% normoblasts)
72 × 103 cells/mm3
105 mm/hour (normal range, 0–20)
30.4 mg/dL (0–0.8)
68 IU/L (<50)
80 IU/L (<50)
363 U/L (<33)
2.73 mg/dL (0.1–1.2)
2.1 mg/dL (<0.3)
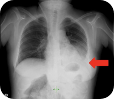
Chest X-ray on admission
showed that Fatima had
fluid accumulating in her
lower left lung
Images supplied with permission of treating clinician.
Results
Haemoglobin:
Aspartate aminotransferase (AST):
Gamma-glutamyl transferase (GGT):
Total bilirubin:
Direct bilirubin:
Haematocrit:
White blood cell count:
Platelets:
Erythrocyte sedimentation rate (ESR):
C-reactive protein (CRP):
Alanine aminotransferase (ALT):
7.3 g/dL
80 IU/L (<50)
363 U/L (<33)
2.73 mg/dL (0.1–1.2)
2.1 mg/dL (<0.3)
Chest X-ray on admission showed
that Fatima had fluid accumulating
in her lower left lung
20.5%
9200 cells/mm3 (86%
polymorphonuclear leucocytes, 3% monocytes,
1% basophils, 4% normoblasts)
72 × 103 cells/mm3
105 mm/hour (normal range, 0–20)
30.4 mg/dL (0–0.8)
68 IU/L (<50)
Images supplied with permission of treating clinician.